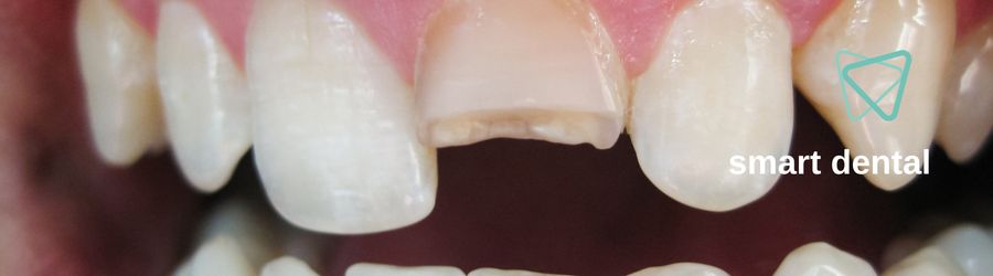
שן שבורה היא אחת הבעיות הנפוצות ברפואת השיניים, העלולה להיגרם מטראומה, לעיסה חזקה או הזנחה. תיקון שיניים שבורות הוא תהליך מורכב הכולל מגוון שיטות טיפול מתקדמות לשחזור השן מבחינה אסתטית ותפקודית. במאמר זה נסקור את הסיבות לשברים בשיניים, את השיטות המובילות לתיקון, ואת היתרונות של טיפולים חדשניים.
מה גורם לשן שבורה?
שברים בשיניים יכולים להתרחש מסיבות שונות, ובהן:
- חבלה חיצונית: תאונות, נפילות או פגיעות ספורט.
- לעיסה חזקה: נגיסה במזון קשה כמו אגוזים או קרח.
- שחיקת שיניים: תהליך איטי שבו השיניים נשחקות לאורך זמן, בעיקר אצל אנשים שסובלים מברוקסיזם (חריקת שיניים).
- עששת או חור עמוק: מחלישה את מבנה השן וגורמת לשברים.
- טיפולים קודמים: שן שעברה טיפול שורש עלולה להיות חלשה יותר ולשבור.
שיטות לתיקון שיניים שבורות
- שחזורים קומפוזיטיים (סתימות לבנות)
אידיאלי לשברים קטנים עד בינוניים.
היתרון המרכזי: התאמה מושלמת לצבע הטבעי של השן.
- כתרים דנטליים
פתרון לשברים חמורים יותר המחייבים חיזוק השן.
כתרי זירקוניה או חרסינה מספקים פתרון אסתטי ועמיד לאורך זמן.
- ציפויי חרסינה (Veneers)
מתאימים לשברים אסתטיים בשיניים הקדמיות.
התהליך כולל הדבקת שכבה דקה של חרסינה על פני השן.
- הלחמת שן
שיטה פשוטה לשחזור שברים קלים באמצעות הדבקה של חומר קומפוזיטי לשן הפגועה.
- השתלות שיניים
במקרים בהם השן לא ניתנת להצלה, יש צורך לעקור אותה ולהשתיל שן חדשה.
- חיבור מחדש של חלקי שן שבורה
אם השבר נשמר במצב טוב, ניתן לחבר אותו מחדש באמצעות חומרים ייחודיים.
טכנולוגיות מתקדמות בתיקון שיניים שבורות
- שימוש בלייזר דנטלי: מסייע בעיצוב השן והשחזתה בצורה מדויקת.
- סריקות תלת-ממד: מאפשרות תכנון מדויק של כתרים וציפויים בהתאמה אישית.
- חומרים ביוקומפטביליים: מבטיחים עמידות גבוהה ושמירה על בריאות החניכיים.
איך לטפל בשן שבורה עד ההגעה לרופא?
- שטיפת הפה במים פושרים: לניקוי האזור.
- שמירת חלקי השן השבורה: מומלץ לשמור אותם בחלב או תמיסת מלח עד הטיפול.
- שימוש במשככי כאבים: להקלת הכאב במקרים חריפים.
- המנעות מלחץ על השן הפגועה: יש להימנע מנגיסה עד לקבלת טיפול מקצועי.
יתרונות תיקון שיניים שבורות
שיפור אסתטי: שחזור מראה טבעי ומושלם של השן.
שימור תפקוד השן: תיקון מונע פגיעה נוספת בשיניים הסמוכות.
פתרון ארוך טווח: טיפולים מתקדמים מספקים עמידות לאורך שנים.
מניעת שברים בשיניים
- שימוש במגן שיניים לספורטאים: מפחית סיכון לפגיעות חיצוניות.
- הימנעות ממזונות קשים: כמו קרח או אגוזים קשים.
- טיפולים מונעים: בדיקות תקופתיות אצל רופא שיניים וזיהוי מוקדם של חולשות מבניות.
- שימוש במגן לילה: למניעת שחיקה אצל הסובלים מברוקסיזם.
סיכום
תיקון שיניים שבורות הוא תהליך המשלב טכנולוגיות מתקדמות ושיטות טיפול מותאמות אישית. בזכות פתרונות חדשניים, ניתן לשקם שיניים פגועות בצורה אסתטית ותפקודית, תוך שמירה על בריאות הפה והשיניים לטווח הארוך.













No comment